患者様の痛みに配慮した
インプラント治療
10年保証

公益社団法人日本口腔インプラント学会が認定するインプラント専門医の資格は、
5年以上会員であり、決められた講習や研修を受け、試験に合格していることや、
治療から3年以上経過した症例を20症例以上経験していることなど、
様々な条件をクリアすることで得ることができます。

痛みに対して恐怖心が強い方は
ご利用をおススメしています。

専門医・専修医在籍の当院なら








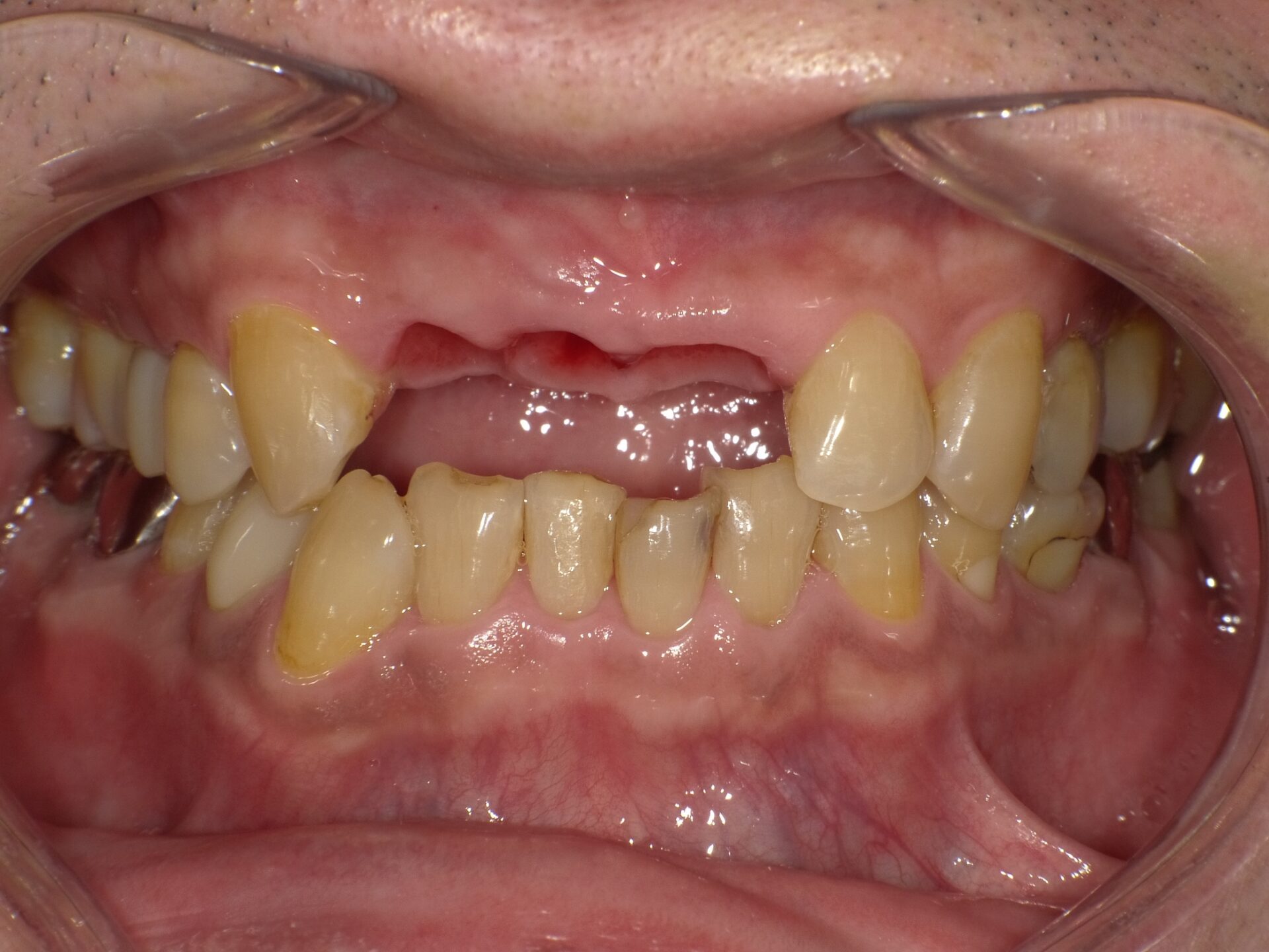
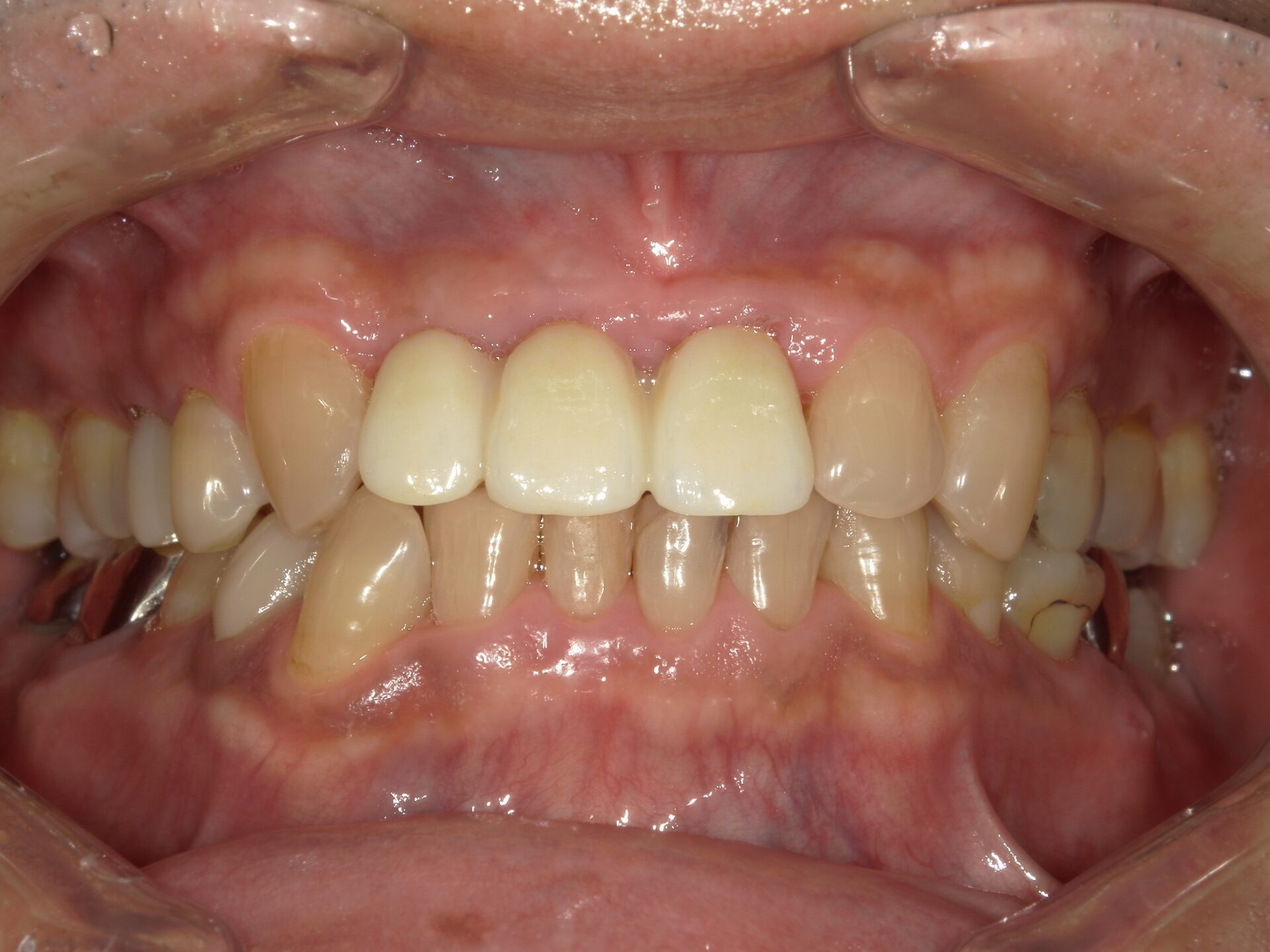
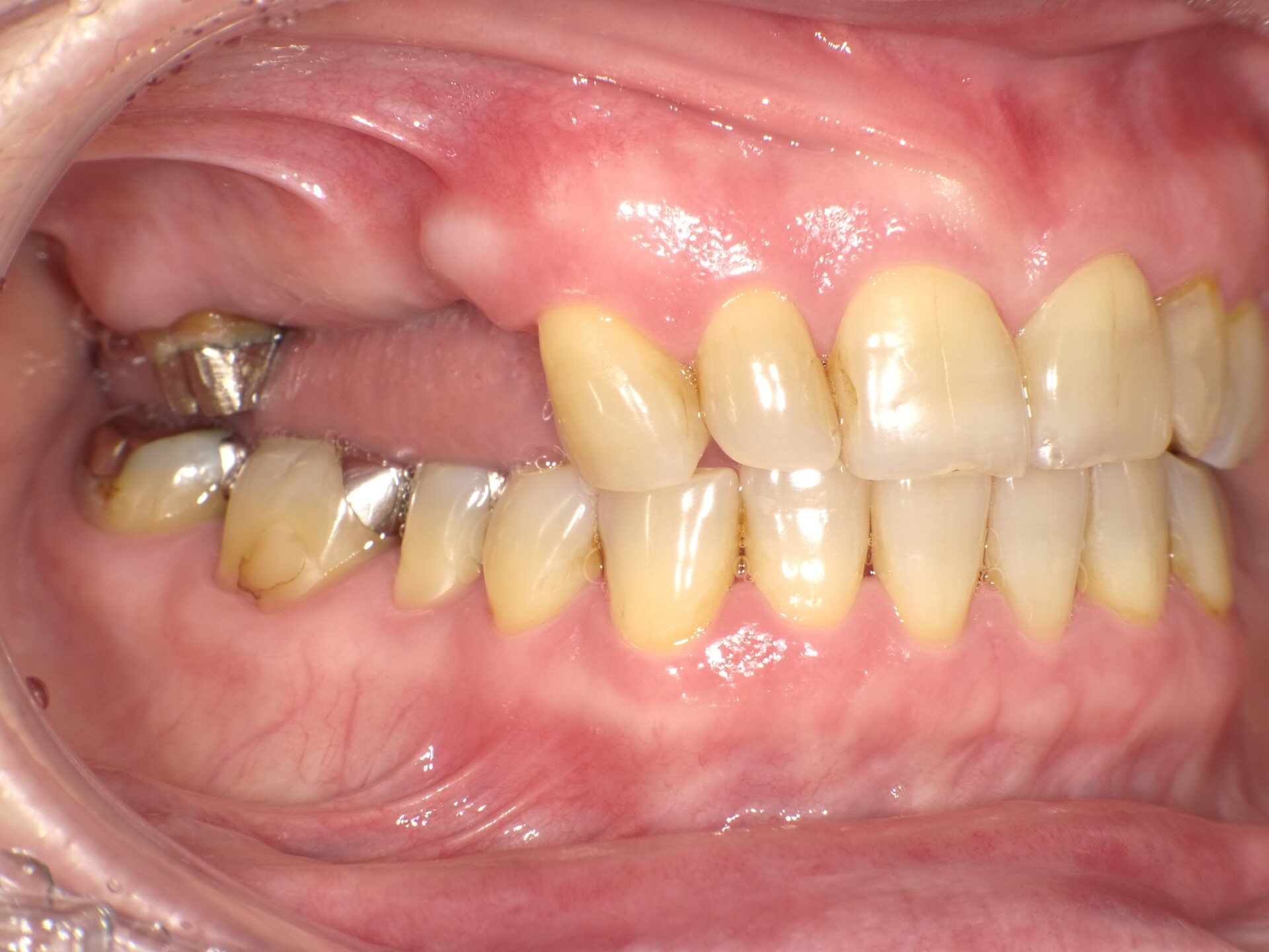
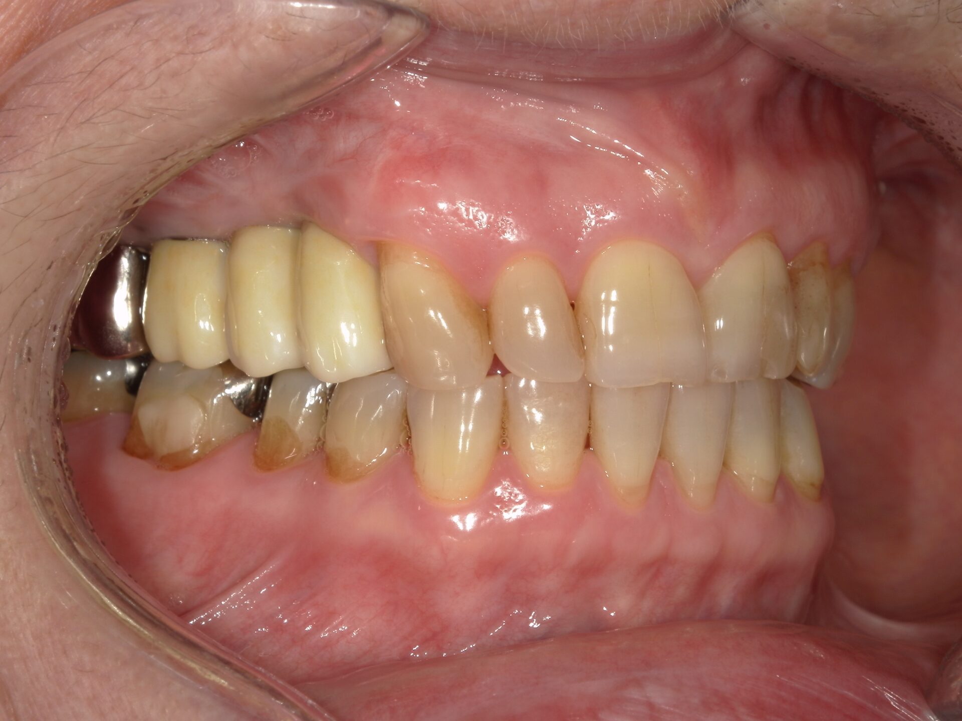
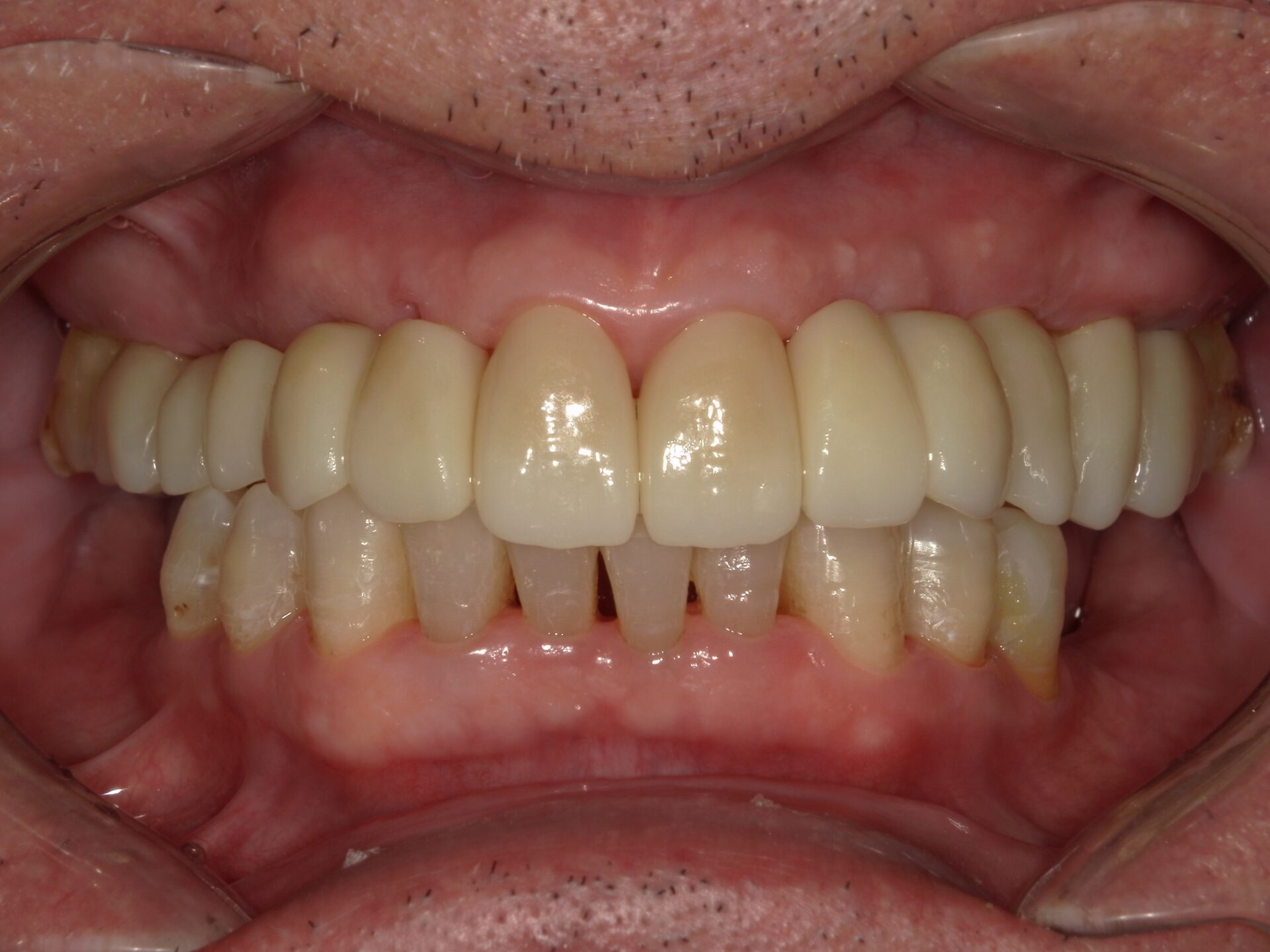
抜歯即時埋入・即時荷重とは、抜歯した当日にインプラント体を埋め込み、さらに仮歯を装着する治療方法です。
即日に歯を入れることで抜歯前の周囲組織の形態の崩れが少なく、見栄えを気にする必要もありません。

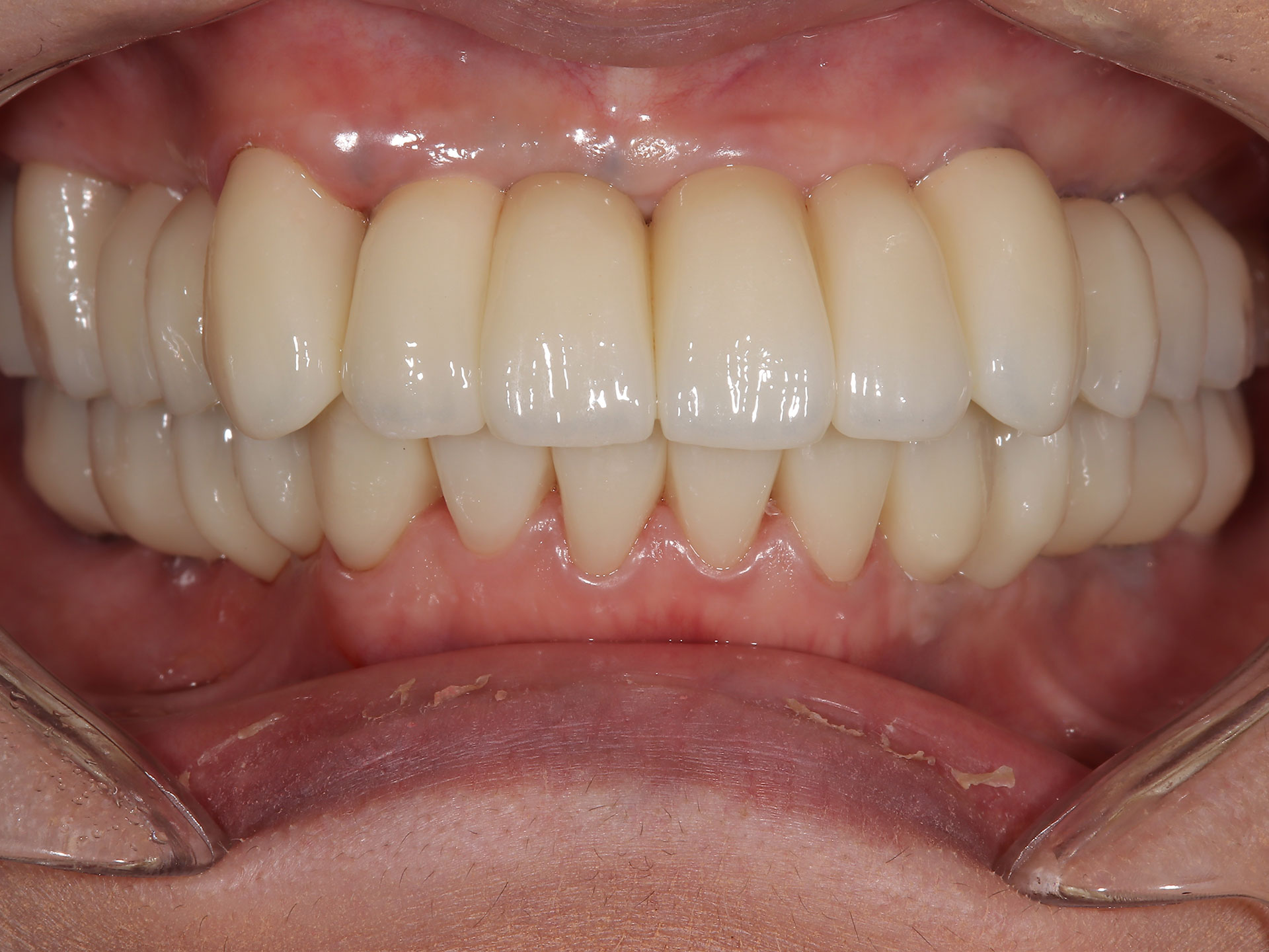
オールオン4とは、4本のインプラント体を顎の骨に埋め込み、繋がった人工歯を装着して固定する治療方法です。

















| カウンセリング | 0円 |
|---|---|
| インプラント治療1本 (精密検査費、 CT撮影費、埋入費、上部構造費込み) |
465,000円(税込み511,500円) |
| ストローマンガイド ※2歯以降...1歯追加ごとに5,500円 |
50,000円(税込み55,000円) |
| 処置料(再診料) | 5,000円(税込み5,500円) |
| オプション | |
|---|---|
| ソケットリフト、サイナスリフト | 100,000円(税込み110,000円) |
| 静脈内鎮静法 | 100,000円(税込み110,000円) |
※標準的な費用となります。
※自由診療となります。
| 使用期間 | 医院負担 |
|---|---|
| 1年以内 | 100% |
| 2年以内 | 80% |
| 3年以内 | 60% |
| 4年以内 | 40% |
| 5年以内 | 20% |
医療費控除とは
患者様本人または、生計を同一と
する方の1年間の医療費の合計が
10万円を超えた場合に
一定の金額が返還される制度です
申請の時期は確定申告と同じ2月~3月で、申請時には下記のものが必要になります。
今年1年間の医療費の領収書はとっておきましょう。
※総所得が200万円未満の場合は、
10万円ではなく所得税の5%になります。
※課税所得により還付金額が変わります。
18歳以上の方であれば特に年齢制限はございません。80歳以上の方でもインプラント治療を行うことは可能です。治療をご検討されている方はお気軽にご相談ください。
適切なケアとメンテナンスを行っていれば、半永久的に使用していただくことが可能です。また当院では、上部構造が5年、下部構造が10年の保証がございますので、ご安心ください。
手術自体は数時間で終了しますが、治療内容と患者様の状態によって治療期間は異なります。無料カウンセリングでもお答えしていますのでお気軽にご利用ください。
インプラントを入れて治療は終了、ではありません。歯を失ってしまった根本的な問題を改善することがとても大切です。定期検診はインプラントだけではなく、どんな治療の後でも必要です。生活習慣の改善やセルフケアを徹底するようにしましょう。
インプラント手術を行う際は、麻酔をし、痛みに配慮して手術を行います。しかし手術後で麻酔が切れた後は、痛みや腫れたりする場合があります。その場合は、鎮痛剤をお出ししますので遠慮なくお申し付けください。
| 診療時間 | 月 | 火 | 水 | 木 | 金 | 土 | 日 |
|---|---|---|---|---|---|---|---|
| 9:00〜13:00 | ● | ● | / | ● | ● | ● | ● |
| 15:00〜20:00 | ● | ● | / | ● | ● | ★ | ★ |
★:14:00〜18:00 [休診日]水曜・祝日
下北沢に限らず、
東京都内・神奈川県からも
患者様がご来院
近隣エリア
明大前・新代田・池ノ上・東北沢・世田谷代田・梅が丘・経堂・山下・代々木上原・下高井戸・
永福町・松原・桜上水・上北沢
東京都内、神奈川県内
世田谷区・渋谷区・新宿区・杉並区・三鷹市・武蔵野市・中野区・小金井市・調布市・狛江市・
川崎市・町田市・座間市・多摩市・八王子市